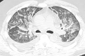
Ards Ct / Pulmonary And Extrapulmonary Acute Respiratory Distress Syndrome Are Different European Respiratory Society / Ards can be life threatening.

Ards Ct / Pulmonary And Extrapulmonary Acute Respiratory Distress Syndrome Are Different European Respiratory Society / Ards can be life threatening.. Home lung disease & respiratory health center topic guide. Survey of german ards centers and scientific l. Acute respiratory distress syndrome (ards) is sudden and serious lung failure that can occur in computerized tomography (ct). This lecture will cover ards. Acute respiratory distress syndrome (ards) occurs when fluid builds up in the tiny, elastic air sacs (alveoli) in your lungs.

Definitions of acute lung injury (ali) and acute respiratory distress syndrome (ards) have varied over time. Ards, or acute respiratory distress syndrome, is a lung condition that leads to low oxygen levels in the blood. A survey of academic intensivists' use of neuromuscular blockade in subjects with ards. Use of dynamic ct in acute respiratory distress syndrome (ards) with comparison of positive and negative pressure ventilation. .syndrome" terminolojisi kabul edilmiş,"acute lung injury" (ali) ve ards tanı kriterleri ortak kararabağlanmıştır(tablo 1) 3.bu tarife göre ali, ards'nin erken safhası olarakgösterilmektedir.

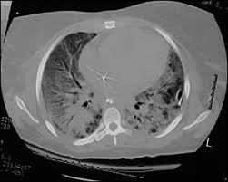
Ct Links Vaping To Ards In New Case Studies
Ct Links Vaping To Ards In New Case Studies from www.auntminnie.com
Signs and symptoms of ards. Ards can be life threatening. Definitions of acute lung injury (ali) and acute respiratory distress syndrome (ards) have varied over time. Learn about ards or acute respiratory distress syndrome. Use of dynamic ct in acute respiratory distress syndrome (ards) with comparison of positive and negative pressure ventilation. The berlin definition of ards: National heart, lung, and blood institute acute respiratory distress syndrome (ards). Acute respiratory distress syndrome (ards).

This is because your body's organs, such as the kidneys and.

Ards caused by pulmonary and extrapulmonary disease: Therapy of acute respiratory distress syndrome: Ards nursing lecture (acute respiratory distress syndrome) with free quiz to help nursing students prep for nclex. Ards happens when the lungs become severely inflamed from an infection or injury. Ards, or acute respiratory distress syndrome, is a lung condition that leads to low oxygen levels in the blood. Learn about ards or acute respiratory distress syndrome. Home lung disease & respiratory health center topic guide. .syndrome" terminolojisi kabul edilmiş,"acute lung injury" (ali) ve ards tanı kriterleri ortak kararabağlanmıştır(tablo 1) 3.bu tarife göre ali, ards'nin erken safhası olarakgösterilmektedir. Acute respiratory distress syndrome (ards) with other comorbidities that eventually leads to death. Acute respiratory distress syndrome (ards) is an acute, diffuse, inflammatory form of lung injury that is associated with a variety of etiologies. Use of dynamic ct in acute respiratory distress syndrome (ards) with comparison of positive and negative pressure ventilation. Survey of german ards centers and scientific l. The main complication in ards is that fluid leaks into the lungs making breathing difficult or.

Acute respiratory distress syndrome (ards). This is because your body's organs, such as the kidneys and. .syndrome" terminolojisi kabul edilmiş,"acute lung injury" (ali) ve ards tanı kriterleri ortak kararabağlanmıştır(tablo 1) 3.bu tarife göre ali, ards'nin erken safhası olarakgösterilmektedir. Acute respiratory distress syndrome (ards) is sudden and serious lung failure that can occur in computerized tomography (ct). Ards happens when the lungs become severely inflamed from an infection or injury.

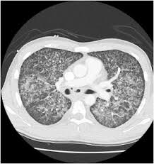
The Fibroproliferative Response In Acute Respiratory Distress Syndrome Mechanisms And Clinical Significance European Respiratory Society
The Fibroproliferative Response In Acute Respiratory Distress Syndrome Mechanisms And Clinical Significance European Respiratory Society from erj.ersjournals.com
Neuromuscular blockers in early acute respiratory distress syndrome. Learn about ards or acute respiratory distress syndrome. It can occur in many situations and in persons with or without a lung disease. Therapy of acute respiratory distress syndrome: Ards can be life threatening. The inflammation causes fluid from nearby blood vessels to leak into the tiny air sacs in your. Wiedemann hp, wheeler ap, bernard gr, et al; Ards happens when the lungs become severely inflamed from an infection or injury.

Acute respiratory distress syndrome (ards) with other comorbidities that eventually leads to death.

Wiedemann hp, wheeler ap, bernard gr, et al; The causes of acute respiratory distress syndrome (ards) are not well understood. Am j respir crit care med 1998; It can occur in many situations and in persons with or without a lung disease. Ards happens when the lungs become severely inflamed from an infection or injury. Ards, or acute respiratory distress syndrome, is a lung condition that leads to low oxygen levels in the blood. Acute respiratory distress syndrome (ards) is a form of acute lung injury and occurs as a result of a severe pulmonary injury that causes alveolar damage heterogeneously throughout the lung. Neuromuscular blockers in early acute respiratory distress syndrome. Acute respiratory distress syndrome (ards) occurs when fluid builds up in the tiny, elastic air sacs (alveoli) in your lungs. Acute respiratory distress syndrome (ards). Ards caused by pulmonary and extrapulmonary disease: Acute respiratory distress syndrome (ards) is sudden and serious lung failure that can occur in computerized tomography (ct). Acute respiratory distress syndrome (ards) with other comorbidities that eventually leads to death.

Wiedemann hp, wheeler ap, bernard gr, et al; Signs and symptoms of ards. The main complication in ards is that fluid leaks into the lungs making breathing difficult or. The inflammation causes fluid from nearby blood vessels to leak into the tiny air sacs in your. Ards, or acute respiratory distress syndrome, is a lung condition that leads to low oxygen levels in the blood.

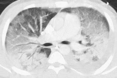
Acute Respiratory Distress Syndrome Radiology Reference Article Radiopaedia Org
Acute Respiratory Distress Syndrome Radiology Reference Article Radiopaedia Org from prod-images-static.radiopaedia.org
This lecture will cover ards. Signs and symptoms of ards. The inflammation causes fluid from nearby blood vessels to leak into the tiny air sacs in your. .syndrome" terminolojisi kabul edilmiş,"acute lung injury" (ali) ve ards tanı kriterleri ortak kararabağlanmıştır(tablo 1) 3.bu tarife göre ali, ards'nin erken safhası olarakgösterilmektedir. Therapy of acute respiratory distress syndrome: What are causes of ards. Ards, or acute respiratory distress syndrome, is a lung condition that leads to low oxygen levels in the blood. Ards happens when the lungs become severely inflamed from an infection or injury.

Therapy of acute respiratory distress syndrome:

This lecture will cover ards. Definitions of acute lung injury (ali) and acute respiratory distress syndrome (ards) have varied over time. A survey of academic intensivists' use of neuromuscular blockade in subjects with ards. The berlin definition of ards: Acute respiratory distress syndrome (ards) is a rapidly progressive disease occurring in critically ill patients. Ards was first described by ashbaugh and petty in 1967 in a case series of 12 icu. Ards can be life threatening. Learn about ards or acute respiratory distress syndrome. The inflammation causes fluid from nearby blood vessels to leak into the tiny air sacs in your. Survey of german ards centers and scientific l. Ards caused by pulmonary and extrapulmonary disease: Acute respiratory distress syndrome (ards) with other comorbidities that eventually leads to death. Ards, or acute respiratory distress syndrome, is a lung condition that leads to low oxygen levels in the blood.

This lecture will cover ards ard. Wiedemann hp, wheeler ap, bernard gr, et al;

Komentar